Skip navigation

MITK vizualizáció

Videó anyagok

A témakörhöz az alábbi két bemutató videó kapcsolódik:

Megjegyzés: A DICOM betöltés után a Data Manager panelen érdemes a vizsgálat nevén módosítani. A hosszú számsorozat helyett adjunk meg kettős bal egérgomb kattintás után egy rövidebbet (pl. CT Thorax Abdomen). Ekkor a Statistics és a Volume Visualization panelek mérete megfelelő szélességű lesz.

Megjelenítés a MITK Workbench alkalmazással

Ha még nem tettük, akkor telepítsük a MITK Workbench alkalmazást! Ingyenesen elérhető Windows és Linux rendszerre is.

Nyissuk meg a megjelenítendő képet! Ennek legegyszerűbb módja, ha a képfájlt, vagy képsorozat esetén annak egy fájlját a MITK ablakra húzzuk. Több fájlból álló képsorozat esetén el kell fogadnunk a teljes adathalmaz betöltésére vonatkozó kérdést.

  • A Data Manager panel a betöltött vizsgálatokat sorolja fel. A bal oldali kapcsolóval tudjuk szabályozni, mely vizsgálatok jelenjenek meg. Fontos tudni, hogy a lista tetején lévő képek vannak "felül" vagyis eltakarják az alattuk lévőket! A vizsgálatok sorrendjét egérrel, fogd-és-vidd módszerrel átrendezhetjük.
  • A vizsgálatot átnevehetjük, a néven történő kettős bal egérgomb kattintással. Az új MITK verziók a DICOM egyedi azonosítóját veszik át névnek, amely túlságosan hosszú és nehezen értelmezhető számsorozat. Adjunk rövid, szöveges elnevezést, pl. CT Thorax Abdomen.
  • A jobb egérgombbal a vizsgálatra kattintva menü jelenik meg. A Details segítségével megvizsgálhatjuk a vizsgálat fontosabb geometriai adatait.

  • Az Image Navigator panelen a három irány (Axial, Sagittal, Coronal) szerint járhatjuk be a képmátrixot a különféle vezérlőelemek használatával.
  • A Display panelen jelennek meg a kérdéses képszeletek. Ennek jobb oldalán állíthatjuk az ablakolást (Window/Level). A felső szerkesztőablakbeli szám a szint (level), az alatta lévő az ablak (window). Ezeket az értékeket a csúszka mozgatásával és alsó és felső szélének módosításával is változtathatjuk.
  • A Display panelen megjelenő szeletek tetszőleges pontjára kattintva is módosíthatunk a megjelenő szeleteken. A MITK az adott ponton átmenő három szeletorientációt állítja be.
  • A Window / Show View / Statistics egy panelt nyit meg, amelyben a kép statisztikai információt találjuk meg. Ami érdekes a számunkra, az a minimum és maximum intenzitásérték, a képpontok darabszáma, és a kép által kifeszített térfogat.

Szegmentálás és felszín vizualizáció

A felszín vizualizációhoz szegmentálás szükséges. Orvosi képek esetén az egyes szervek körvonalainak meghatározása nagyon időigényes és nehézkes lehet. Bizonyos esetekben gyors eredményt érhetünk el. Ilyen például a csontozat meghatározása CT képek esetén. A CT röntgen-alapú technika, ahol a kemény csontozat jelenik meg magas intenzitással. Más struktúrák ennél alacsonyabb értékűek, így egy egyszerű küszöbölés is elfogadható megoldást adhat. A kontúr meghatározása után az egymást követő szeletek határaiból térbeli háromszögháló számítható.

A MITK támogatja a küszöbölést és a felszínháló generálást is. Ezt nézzük át a következőkben.

  • Feltételezzük, hogy a dataset1_Thorax_Abdomen_dicom CT kép betöltésre került.
  • Keressük meg a Segmentation eszközt (Window / Show View menüben). A jobb oldalon megjelenik a Segmentation panel.
  • A Data Selection részen a Patient Image listában választhatunk szegmentálandó vizsgálatot.
  • A Data Selection részen a Segmentation lenyíló lista mellett jobbról keressük meg a New... nyomógombot. A megjelenő dialógusablakban adjunk nevet a szegmentálásnak (például Csontozat), és válasszunk színt a bal oldalsó gombra kattintva (a példánkban sárga).
  • Alul megjelennek a szegmentáló eszközök, 2D és 3D funkciókra bontva. Válasszuk a 3D Tools-t.
  • A Threshold eszközt választva lehetőségünk van a küszöbérték megadására. A 3D megjelenítő részben zöld színnel látjuk annak a régiónak a határát, amely a küszöbölési kritériumot teljesíti. A példánkban a 300 értéket választjuk. A Confirm Segmentation gombra kattintva hajtódik végre a küszöbölés.
  • A Data Manager részben a vizsgálathoz tartozó Csontozat adaton kattintsunk jobb egérgombbal. A Create smoothed polygon model indítja a felszínháló generálást. ez eltarthat akár 10-20 másodpercig is. Ha kész, a Data Manager-ben a szegmentálás alatt megjelenik a felszínháló elem.
  • A felszínhálón jobb egérgombbal kattintva a menüben lehetőségünk van a felszínháló átlátszóságának (Opacity) módosítására. Húzzuk jobb szélre az átlátszatlan modellhez.

A megjelenítés testreszabása

A MITK-ban szabályozhatjuk, mi és hogyan jelenjen meg a képmegjelenítő ablakokban. Az ablakok jobb felső sarkában három ikont találunk.

  • A jobb szélsőre kattintva kiválaszthatjuk, milyen osztásban jelenjen meg a képi információ.
  • A középsőre kattintva maximalizálhatjuk az adott ablak méretét, a többit kikapcsolva. Újabb kattintás visszaállítja az eredeti méretet.
  • A bal szélsőre kattintva a szeletek megjelenését szabályozhatjuk a 3D nézet ablakban. A Show Crosshair opciót érdemes kikapcsolni, amennyiben felszínmodellt vagy térfogat megjelenítést végzünk.

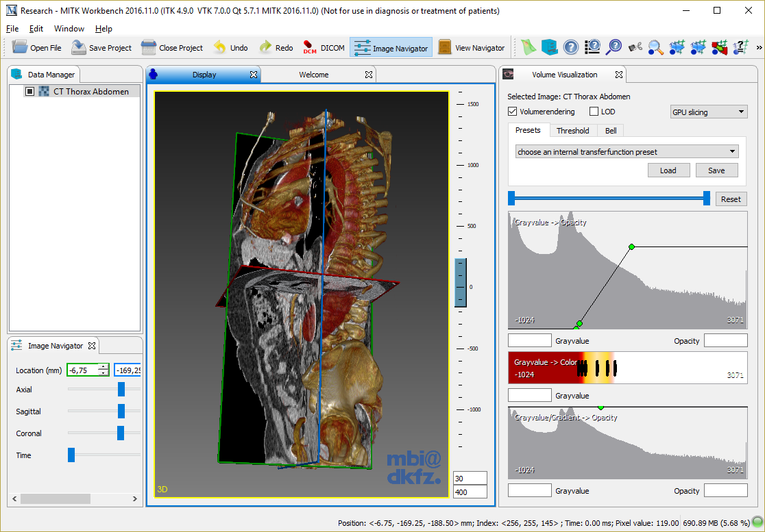
Térfogat vizualizáció

A MITK támogatja a térfogat vizualizációt. Ehhez válasszuk ki a Window / Show View / Volume Visualization opciót.

  • Ki kell választanunk, melyik 3D képsorozatra történjen a megjelenítés.
  • A Volumerendering kapcsolót bekapcsolva a 3D nézetben megjelenik az eredmény.
  • A megjelenítő terület jobb felső sarkában maximalizálhatjuk a nézet méretét.

A térfogat megjelenítés paramétereit a jobb oldali panel segítségével módosíthatjuk.

Feladatok

  • Készítsünk felszín vizualizációt más szervekhez is!
  • Készítsünk térfogat vizualizációt többféle paraméterezéssel!