Skip navigation

Hasonlóság számítása (Python)

Célok

Csomagok beillesztése. Az SSIM mérték implementációja a Scikit-image csomagban található. Az MSE mértéket magunk definiáljuk függvényként.

# mse function from:
# http://www.pyimagesearch.com/2014/09/15/python-compare-two-images/

# import the necessary packages
from skimage.metrics import structural_similarity as ssim
import numpy as np
import cv2

Képpontok közötti különbség számítása. A két képet float típusúként kezeljük. Összegezzük az intenzitásonkénti különbségek négyzetét, majd az összeget osztjuk a képpárok számával.

def mse(imageA, imageB):
    # the 'Mean Squared Error' between the two images is the
    # sum of the squared difference between the two images;
    # NOTE: the two images must have the same dimension
    err = np.sum((imageA.astype("float") - imageB.astype("float")) ** 2)
    err /= float(imageA.shape[0] * imageA.shape[1])

    # return the MSE, the lower the error, the more "similar"
    # the two images are
    return err

Szöveg kiírás a képre segédfüggvény.

def put_text(img, text, pos1, pos2):
    cv2.putText(img, text, pos2, cv2.FONT_HERSHEY_PLAIN, 1, (0, 0, 0))
    cv2.putText(img, text, pos1, cv2.FONT_HERSHEY_PLAIN, 1, (255, 255, 255))

Képek közötti hasonlóság számítása és megjelenítése. Az fname paraméter átadásakor az adott nevű fájlba íródik az egymásra vetített képi eredmény.

def show_similarity(caption, img1, img2, fname=None):
    m = mse(img1, img2)
    s = ssim(img1, img2)
    mse_text = 'MSE: {:.2f}'.format(m)
    ssim_text = 'SSIM: {:.2f}'.format(s)
    print(caption)
    print(mse_text)
    print(ssim_text)
    image_reg_blend = cv2.merge((np.zeros((h, w), np.uint8), img1, img2))
    put_text(image_reg_blend, caption, (1, 15), (2, 16))
    put_text(image_reg_blend, ssim_text, (1, h-15), (2, h-14))
    put_text(image_reg_blend, mse_text, (1, h-2), (2, h-1))
    cv2.imshow('Registered (blended)', image_reg_blend)
    if fname:
        cv2.imwrite(fname, image_reg_blend)
    cv2.waitKey(0)

Főprogram. Képek beolvasása, szélesség és magasság egyezés ellenőrzése.

# Read the images
original = cv2.imread("sim/mr01.png", cv2.IMREAD_GRAYSCALE)
transformed = cv2.imread("sim/mr01_rot.png", cv2.IMREAD_GRAYSCALE)

h, w = original.shape[:2]
h2, w2 = transformed.shape[:2]

assert h == h2 and w == w2 and h > 0 and w > 0

Háromféle képi összehasonlítás hívása

show_similarity('Original - Original', original, original)
show_similarity('Original - Transformed', original, transformed)
show_similarity('Transformed - Transformed', transformed, transformed)

Egymodalitásos eredmények

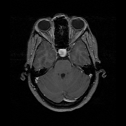
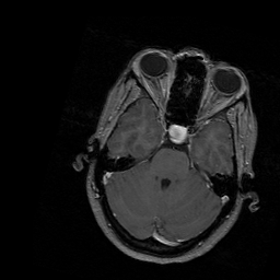
Az mr01.png és mr01_rot.png bemeneti képek.

 

Ugyanzon képpel történő összehasonlításkor az SSIM 1.0, az MSE 0.0 értéket ad. Ez a maximális egyezést jelenti. Az mr01-mr01_rot esetén az MRI képszelet elforgatásra került önmagához képest, így az illeszkedés nem tökéletes. Ez mutatkozik a hasonlósági mérték értében is. Az SSIM 0,43-ra csökken, az MSE 1458,47 értékre nő.

  

Kétmodalitásos eredmények

MR-CT összehasonlításkor azt tapasztaljuk, hogy tökéletes illeszkedéskor sem fogunk maximális hasonlósági értékeket kapni. Sőt, elmondható, hogy egyik hasonlósági mérték sem alkalmas a pontos illeszkedés meghatározására. Ehhez más, például kölcsönös információtartalom vagy intenzitáspartícionálás (PIU) mérték szükséges.